¡°°£¼¼Æ÷¾Ï, Áõ»ó ¾ø¾îµµ ¿µ»ó¸¸À¸·Î ¸é¿ªÄ¡·á È¿°ú ¿¹Ãø¡±

¼­¿ï´ëº´¿ø ¿¬±¸ÆÀ, Ä¡·á °£¼¼Æ÷¾Ï ȯÀÚ 198¸í ºÐ¼® ¿µ»ó ±â¹Ý ¹«Áõ»ó ¸é¿ª¹ÝÀÀ, µ¶¸³Àû ¿¹ÈÄ ÀÎÀÚ·Î È®ÀÎ
µî·Ï: 2025.11.25

(¿ÞÁ·ºÎÅÍ) ¼­¿ï´ëº´¿ø ¼ÒÈ­±â³»°ú À¯¼öÁ¾ ±³¼ö¡¤¹ÚÁ¦¿¬ Áø·á±³¼ö, ¿µ»óÀÇÇаú À̵¿È£ ±³¼ö
(¿ÞÁ·ºÎÅÍ) ¼­¿ï´ëº´¿ø ¼ÒÈ­±â³»°ú À¯¼öÁ¾ ±³¼ö¡¤¹ÚÁ¦¿¬ Áø·á±³¼ö, ¿µ»óÀÇÇаú À̵¿È£ ±³¼ö


[ÇコÄÚ¸®¾Æ´º½º / ¹Ú¿øÁø] °£¼¼Æ÷¾Ï ȯÀÚÀÇ 1Â÷ ¸é¿ªÇ×¾ÏÄ¡·á °úÁ¤¿¡¼­, ȯÀÚ°¡ Áõ»óÀ» ´À³¢Áö ¾Ê´õ¶óµµ CT¿¡¼­ ³ªÅ¸³ª´Â °æ¹ÌÇÑ ¸é¿ª°ü·Ã º¯È­°¡ »ýÁ¸±â°£ ¹× Ä¡·á È¿°ú¿Í ¿¬°üµÉ ¼ö ÀÖ´Ù´Â ¿¬±¸ °á°ú°¡ ³ª¿Ô´Ù. ±×µ¿¾È ´Ü¼øÇÑ ÀÌ»ó ¼Ò°ßÀ¸·Î ¿©°ÜÁ³´ø ¿µ»ó º¯È­°¡ ½ÇÁ¦·Î´Â Ä¡·á °æ°ú¸¦ ¿¹ÃøÇÏ´Â ÀÇ¹Ì ÀÖ´Â ÁöÇ¥°¡ µÉ ¼ö ÀÖÀ½À» È®ÀÎÇÑ °ÍÀÌ´Ù. ¼­¿ï´ëº´¿ø ¼ÒÈ­±â³»°ú À¯¼öÁ¾ ±³¼ö·¹ÚÁ¦¿¬ Áø·á±³¼ö¿Í ¿µ»óÀÇÇаú À̵¿È£ ±³¼ö ¿¬±¸ÆÀÀÇ ¿¬±¸ ¼º°ú´Ù.


°£¼¼Æ÷¾ÏÀº B·CÇü °£¿°, °£°æº¯ µî ¸¸¼º °£Áúȯ ȯÀÚ¿¡¼­ ÁÖ·Î ¹ß»ýÇϸç Ãʱâ Áõ»óÀÌ °ÅÀÇ ¾ø¾î µÚ´Ê°Ô ¹ß°ßµÇ´Â °æ¿ì°¡ ¸¹´Ù. ÃÖ±Ù ¸é¿ªÇ×¾ÏÁ¦°¡ °£¼¼Æ÷¾ÏÀÇ Áß¿äÇÑ Ä¡·á ¿É¼ÇÀ¸·Î ÀÚ¸® Àâ¾ÒÁö¸¸, Ä¡·á Áß ³ªÅ¸³ª´Â ‘¸é¿ª°ü·Ã ÀÌ»ó¹ÝÀÀ(irAEs)’ÀÌ ½ÇÁ¦ ¿¹ÈÄ¿Í ¾î¶² ¿¬°üÀ» °®´ÂÁö´Â ÃæºÐÈ÷ ¾Ë·ÁÁ® ÀÖÁö ¾Ê¾Ò´Ù. ƯÈ÷ ȯÀÚ¿¡°Ô ºÒÆíÇÑ Áõ»óÀÌ ÀüÇô ¾ø´õ¶óµµ ¿µ»ó¿¡¼­¸¸ °üÂûµÇ´Â º¯È­°¡ ¾î¶² Àǹ̸¦ °®´ÂÁö´Â ´õ¿í ¿¬±¸°¡ ÇÊ¿äÇÑ »óȲÀ̾ú´Ù.


¿¬±¸ÆÀÀº 2020³â 10¿ùºÎÅÍ 2023³â 6¿ù±îÁö ¾ÆÅ×Á¹¸®ÁÖ¸¿·º£¹Ù½ÃÁÖ¸¿(Atezolizumab–Bevacizumab, AteBeva) º´ÇÕ¿ä¹ýÀ» ¹ÞÀº ÀýÁ¦ ºÒ°¡´É °£¼¼Æ÷¾Ï ȯÀÚ 198¸íÀ» ´ë»óÀ¸·Î Ä¡·á Áß ¹ß»ýÇÑ ÀÌ»ó¹ÝÀÀÀÌ ÀÓ»ó °æ°ú¿¡ ¹ÌÄ¡´Â ¿µÇâÀ» ÈÄÇâÀûÀ¸·Î ºÐ¼®ÇÑ ¿¬±¸ °á°ú¸¦ 25ÀÏ ¹ßÇ¥Çß´Ù.


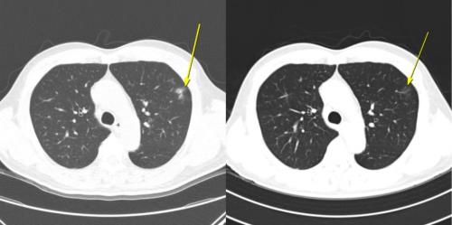
¹«Áõ»ó ÀϽÃÀû ¸é¿ª°ü·Ã Æó·Å »ç·Ê: ÀÌ È¯ÀÚ´Â AteBeva Ä¡·á 3°³¿ù° ½ÃÇàÇÑ Àú¼±·® ÈäºÎ CT(¿ÞÂÊ)¿¡¼­ Æó ÁÖº¯ºÎ¿¡ ¹Ì¼¼ ¿°Áõ¼º À½¿µÀÌ ³ªÅ¸³µÀ¸³ª, 6°³¿ù° CT(¿À¸¥ÂÊ)¿¡¼­´Â ÀÚ¿¬ÀûÀ¸·Î ¼Ò½ÇµÇ´Â ¾ç»óÀ» º¸¿´´Ù. Ä¡·á´Â Áö¼ÓµÆÀ¸¸ç, ÀÌÈÄ ºÎºÐ °üÇØ(PR)¸¦ ´Þ¼ºÇß°í ÃÑ 19.7°³¿ù°£ ¹«ÁøÇà »ýÁ¸(PFS)À» À¯ÁöÇß´Ù.
¹«Áõ»ó ÀϽÃÀû ¸é¿ª°ü·Ã Æó·Å »ç·Ê: ÀÌ È¯ÀÚ´Â AteBeva Ä¡·á 3°³¿ù° ½ÃÇàÇÑ Àú¼±·® ÈäºÎ CT(¿ÞÂÊ)¿¡¼­ Æó ÁÖº¯ºÎ¿¡ ¹Ì¼¼ ¿°Áõ¼º À½¿µÀÌ ³ªÅ¸³µÀ¸³ª, 6°³¿ù° CT(¿À¸¥ÂÊ)¿¡¼­´Â ÀÚ¿¬ÀûÀ¸·Î ¼Ò½ÇµÇ´Â ¾ç»óÀ» º¸¿´´Ù. Ä¡·á´Â Áö¼ÓµÆÀ¸¸ç, ÀÌÈÄ ºÎºÐ °üÇØ(PR)¸¦ ´Þ¼ºÇß°í ÃÑ 19.7°³¿ù°£ ¹«ÁøÇà »ýÁ¸(PFS)À» À¯ÁöÇß´Ù.


¿¬±¸ÆÀÀº Ä¡·á Áß ³ªÅ¸³­ ÀÌ»ó¹ÝÀÀ ¾ç»ó¿¡ µû¶ó ȯÀÚ¸¦ ÀÌ»ó¹ÝÀÀÀÌ ÀüÇô ¾ø´Â ‘¹«ÀÌ»ó¹ÝÀÀ±º’ ÀÓ»ó Áõ»óÀ̳ª Ç÷¾×°Ë»ç ÀÌ»óÀ» µ¿¹ÝÇÑ ‘Áõ»ó¼º ÀÌ»ó¹ÝÀÀ±º(Áõ»ó±º)’ Áõ»óÀº ¾øÁö¸¸ CT¿¡¼­ Æó ÁÖº¯ºÎ ¹Ì¼¼ ¿°Áõ¼º À½¿µ, ÀϽÃÀû ´ëÀ庮 ºñÈÄ, Àå°£¸· ¿°Áõ, ¹ÝÀÀ¼º ¸²ÇÁÀý Á¾´ë µî ¸é¿ª¹ÝÀÀÀ¸·Î ÇØ¼®µÇ´Â º¯È­¸¸ ³ªÅ¸³­ ‘¹«Áõ»ó ¿µ»ó ÀÌ»ó¹ÝÀÀ±º(¹«Áõ»ó ¿µ»ó±º)’À¸·Î ºÐ·ùÇß´Ù. Àüü 198¸í Áß ¹«Áõ»ó ¿µ»ó±ºÀº 12¸í, Áõ»ó±ºÀº 56¸í, ¹«ÀÌ»ó¹ÝÀÀ±ºÀº 130¸íÀ̾ú´Ù.


ÀÌÈÄ ¿¬±¸ÆÀÀº ¼¼ ±ºÀÇ Àüü »ýÁ¸±â°£(OS), ¹«ÁøÇà»ýÁ¸±â°£(PFS), Áúº´Á¶Àý·ü(DCR) µîÀ» ºñ±³ÇØ ÀÓ»óÀû Àǹ̸¦ ºÐ¼®Çß´Ù. ±× °á°ú, ¹«Áõ»ó ¿µ»ó±º¿¡¼­ °¡Àå ¶Ñ·ÇÇÑ ¿¹ÈÄ °³¼± È¿°ú°¡ È®ÀεƴÙ.


6·12·18·24°³¿ù ½ÃÁ¡ÀÇ Àüü »ýÁ¸À²À» ºñ±³Çϸé, ¹«Áõ»ó ¿µ»ó±ºÀº °¢°¢ 100.0%, 82.5%, 82.5%, 82.5%·Î °¡Àå ³ô¾Ò°í, Áõ»ó±ºÀº 89.1%, 64.1%, 41.7%, 40.5%, ¹«ÀÌ»ó¹ÝÀÀ±ºÀº 72.3%, 48.3%, 31.3%, 19.4%¿´´Ù. Ä¡·á Áß Áõ»óÀÌ ¾ø´õ¶óµµ ¿µ»ó¿¡¼­ ¸é¿ª¹ÝÀÀÀ» º¸ÀΠȯÀÚµéÀÌ »ýÁ¸±â°£ ¸é¿¡¼­ ÁÁÀº °æ°ú¸¦ º¸ÀÎ °ÍÀÌ´Ù.


¹«ÀÌ»ó¹ÝÀÀ±º(Non-AE), ¹«Áõ»ó ¿µ»ó±º(Asymp AE), Áõ»ó±º(Symp AE)¿¡¼­ Àüü »ýÁ¸À²(OS, ¿ÞÂÊ)°ú ¹«ÁøÇà»ýÁ¸À²(PFS, ¿À¸¥ÂÊ)À» KaplanMeier °î¼±°ú ½Ã°£ Á¾¼Ó Cox ȸ±Í¸ðÇüÀ¸·Î ºñ±³ÇÑ °á°ú.
¹«ÀÌ»ó¹ÝÀÀ±º(Non-AE), ¹«Áõ»ó ¿µ»ó±º(Asymp AE), Áõ»ó±º(Symp AE)¿¡¼­ Àüü »ýÁ¸À²(OS, ¿ÞÂÊ)°ú ¹«ÁøÇà»ýÁ¸À²(PFS, ¿À¸¥ÂÊ)À» KaplanMeier °î¼±°ú ½Ã°£ Á¾¼Ó Cox ȸ±Í¸ðÇüÀ¸·Î ºñ±³ÇÑ °á°ú.


IPTW º¸Á¤À» Àû¿ëÇÑ ½Ã°£ Á¾¼Ó Cox ȸ±Í ºÐ¼®¿¡¼­µµ, ¹«Áõ»ó ¿µ»ó±ºÀº ¹«ÀÌ»ó¹ÝÀÀ±º¿¡ ºñÇØ »ç¸Á À§ÇèÀÌ ¾à 81% ³·¾ÒÀ¸¸ç(HR 0.19), Áõ»ó±º ¿ª½Ã ¾à 58% ³·Àº °ÍÀ¸·Î ³ªÅ¸³µ´Ù(HR 0.42). µÎ ±º ¸ðµÎ »ç¸Á À§ÇèÀÌ Åë°èÀûÀ¸·Î À¯ÀÇÇÏ°Ô ³·¾Ò´Ù(P=0.02). ÀÌ´Â Áõ»óÀÌ ¾ø¾îµµ ¿µ»ó¿¡¼­ º¸ÀÌ´Â º¯È­°¡ ½ÇÁ¦ »ýÁ¸±â°£¿¡ Áß¿äÇÑ ¿µÇâÀ» ¹ÌÄ¥ ¼ö ÀÖÀ½À» º¸¿©ÁØ´Ù.


¹«ÁøÇà»ýÁ¸±â°£(PFS) ¿ª½Ã ¹«Áõ»ó ¿µ»ó±º°ú Áõ»ó±º¿¡¼­ ´õ ±æ°Ô À¯ÁöµÆÀ¸¸ç, ƯÈ÷ ¹«Áõ»ó ¿µ»ó±ºÀº PFSÀÇ µ¶¸³ÀûÀÎ ¿¹ÈÄ ÀÎÀÚ·Î È®ÀεƴÙ. Áï, ¿µ»ó¿¡¼­ °üÂûµÇ´Â ÀÛÀº º¯È­¸¸À¸·Îµµ Ä¡·á °æ°ú¸¦ ¿¹ÃøÇÏ´Â µ¥ ÀÇ¹Ì ÀÖ´Â Á¤º¸¸¦ ¾òÀ» ¼ö ÀÖ´Ù´Â Àǹ̴Ù.


Ä¡·á ¹ÝÀÀ·ü¿¡¼­µµ Â÷À̰¡ ºÐ¸íÇß´Ù. ¹«Áõ»ó ¿µ»ó±ºÀÇ °´°üÀû ¹ÝÀÀ·ü(ORR)Àº 41.7%, Áúº´Á¶Àý·ü(DCR)Àº 100%·Î °¡Àå ³ô¾ÒÀ¸¸ç, Áõ»ó±ºÀº °¢°¢ 26.8%¿Í 92.9%, ¹«ÀÌ»ó¹ÝÀÀ±ºÀº 13.8%¿Í 60.0%·Î µÚ¸¦ À̾ú´Ù. À̴ ȯÀÚ°¡ Áõ»óÀ» ´À³¢Áö ¾Ê´õ¶óµµ CT¿¡¼­ º¸ÀÌ´Â °æ¹ÌÇÑ º¯È­°¡ Ä¡·á ¹ÝÀÀÀÌ ÁÁÀº ȯÀÚ¸¦ Á¶±â¿¡ ½Äº°ÇÏ´Â Áß¿äÇÑ ´Ü¼­°¡ µÉ ¼ö ÀÖÀ½À» ½Ã»çÇÑ´Ù.


À̹ø ¿¬±¸´Â ¸é¿ªÇ×¾ÏÄ¡·á Áß °üÂûµÇ´Â ¿µ»ó º¯È­°¡ ´Ü¼øÇÑ ºÎÀÛ¿ëÀ» ³Ñ¾î ȯÀÚÀÇ ¿¹Èĸ¦ Æò°¡ÇÏ´Â ÇÙ½É ÁöÇ¥°¡ µÉ ¼ö ÀÖÀ½À» º¸¿©ÁÖ¸ç, ÀýÁ¦ ºÒ°¡´É °£¼¼Æ÷¾Ï ȯÀÚÀÇ Ä¡·á Àü·«À» ¼¼¿ì´Â µ¥ Áß¿äÇÑ ±Ù°Å¸¦ Á¦°øÇÑ´Ù. ¿¬±¸ÆÀÀº ´Ù¸¸ ÁßÁõ ¸é¿ª°ü·Ã ÀÌ»ó¹ÝÀÀÀº ¿¹ÈÄ ¾ÇÈ­¿Í ¿¬°üµÉ ¼ö ÀÖ¾î º°µµÀÇ °ü¸®°¡ ÇÊ¿äÇÏ´Ù°í °­Á¶Çß´Ù.


À¯¼öÁ¾ ±³¼ö(¼ÒÈ­±â³»°ú)´Â “ȯÀÚ°¡ Ưº°ÇÑ Áõ»óÀ» ´À³¢Áö ¾Ê´õ¶óµµ ¿µ»ó¿¡¼­ ³ªÅ¸³ª´Â ¹Ì¼¼ÇÑ º¯È­¿¡´Â Áß¿äÇÑ Á¤º¸°¡ ´ã°Ü ÀÖÀ» ¼ö ÀÖ´Ù”¸ç “Á¤±âÀûÀÎ ¿µ»ó°Ë»ç¸¦ ÅëÇØ ÀÌ·¯ÇÑ º¯È­¸¦ ¼¼½ÉÇÏ°Ô °üÂûÇϸé ȯÀÚÀÇ »óŸ¦ ´õ¿í Á¤È®ÇÏ°Ô ÆÄ¾ÇÇϰí Ä¡·á Àü·«À» º¸´Ù ¾ÈÀüÇÏ°Ô Á¶Á¤ÇÒ ¼ö ÀÖ´Ù”°í ¸»Çß´Ù.


À̹ø ¿¬±¸´Â ±¹Á¦ ÇмúÁö ‘Liver Cancer’ ÃÖ±ÙÈ£¿¡ °ÔÀçµÆ´Ù.

¹Ú¿øÁø
admin@hkn24.com

* º» ±â»çÀÇ ³»¿ëÀº ÇコÄÚ¸®¾Æ´º½º ¾ð·Ð»ç¿¡¼­ Á¦°øÇÑ ±â»çÀ̸ç ÇコÁ¶¼±ÀÇ ÆíÁý¹æÇâ°ú ÀÏÄ¡ÇÏÁö ¾ÊÀ» ¼öµµ ÀÖ½À´Ï´Ù.(°ü·Ã ¹®ÀÇ´Â ÇØ´ç ¾ð·Ð»ç¿¡ ¿¬¶ôºÎʵ右´Ï´Ù)