[¸ÞµðÄà ÀλçÀÌÆ®] °Ç¼± Àç¹ß ±Ùº» ¿øÀÎÀº ¡®¹ÌÅäÄܵ帮¾Æ ±â´É ÀÌ»ó¡¯ ¶§¹® ¡¦ ź¼Ò ³ª³ëÀÔÀÚ·Î Ä¡·á ±æ ¿­¾î

°¡Å縯ÀÇ´ë Á¶¹Ì¶ó ±³¼öÆÀ, ¸é¿ª¼¼Æ÷ ´ë»ç Á¶Àý ÅëÇØ ¿°Áõ ½ÅÈ£ ¾ïÁ¦ Àü·« Á¦½Ã
µî·Ï: 2026.02.23

(¿ÞÂʺÎÅÍ)°¡Å縯´ëÇб³ Àǰú´ëÇÐ º´¸®Çб³½Ç Á¶¹Ì¶ó ±³¼ö, °¡Å縯´ëÇб³ ¼­¿ï¼º¸ðº´¿ø ÇǺΰú ¹æÃ¶È¯ ±³¼ö, °¡Å縯´ëÇб³ ÀǰúÇаú º´¸®Çб³½Ç ±èÅÂÈ£ ´ëÇпø»ý<br>
(¿ÞÂʺÎÅÍ)°¡Å縯´ëÇб³ Àǰú´ëÇÐ º´¸®Çб³½Ç Á¶¹Ì¶ó ±³¼ö, °¡Å縯´ëÇб³ ¼­¿ï¼º¸ðº´¿ø ÇǺΰú ¹æÃ¶È¯ ±³¼ö, °¡Å縯´ëÇб³ ÀǰúÇаú º´¸®Çб³½Ç ±èÅÂÈ£ ´ëÇпø»ý<br>


[ÇコÄÚ¸®¾Æ´º½º / ¹Ú¿øÁø] ¸¸¼º ÇǺÎÁúȯÀÎ °Ç¼±ÀÌ Àç¹ßÇÏ´Â ±Ùº» ¿øÀÎÀÌ ¸é¿ª¼¼Æ÷ ³» ¹ÌÅäÄܵ帮¾ÆÀÇ ±â´É ÀÌ»ó¿¡ ÀÖ´Ù´Â »ç½ÇÀÌ ¹àÇôÁ³´Ù. ±¹³» ¿¬±¸ÁøÀÌ Åº¼Ò ³ª³ëÀÔÀÚ¸¦ Ȱ¿ëÇØ ÀÌ ±â´ÉÀ» ȸº¹½ÃÅ´À¸·Î½á °Ç¼±ÀÇ Àç¹ßÀ» ¾ïÁ¦ÇÏ´Â »õ·Î¿î Ä¡·á °¡´É¼ºÀ» È®ÀÎÇß´Ù.


23ÀÏ ÀÇ·á°è¿¡ µû¸£¸é, °¡Å縯´ëÇб³ Àǰú´ëÇÐ º´¸®Çб³½Ç Á¶¹Ì¶ó ±³¼ö¿Í ¼­¿ï¼º¸ðº´¿ø ÇǺΰú ¹æÃ¶È¯ ±³¼ö ¿¬±¸ÆÀÀº ÃÖ±Ù ¿¬±¸¸¦ ÅëÇØ °Ç¼± ȯÀÚÀÇ ¸é¿ª¼¼Æ÷¿¡¼­ ¹ß»ýÇÏ´Â ‘¹ÌÅäÄܵ帮¾Æ–STAT3–IL-17’ ÃàÀÇ ÀÌ»ó ±âÀüÀ» ±Ô¸íÇß´Ù.


¡ß ‘Á¶Á÷»óÁÖ±â¾ï T¼¼Æ÷’ÀÇ ´ë»ç ÀÌ»óÀÌ Àç¹ß ºÒ·¯


°Ç¼±Àº ÇǺΠ¹ßÁø°ú °¢ÁúÀÌ ¹Ýº¹µÇ´Â ÀÚ°¡¸é¿ªÁúȯÀ¸·Î, Áõ»óÀÌ »ç¶óÁø µÚ¿¡µµ ÇǺΠÁ¶Á÷¿¡ ³²¾Æ ¿°ÁõÀ» ±â¾ïÇÏ´Â ‘CD8 Á¶Á÷»óÁÖ±â¾ï T¼¼Æ÷(CD8 TRM)’ ¶§¹®¿¡ ½±°Ô Àç¹ßÇÑ´Ù.


¿¬±¸ÆÀÀº ÀÌ ¼¼Æ÷ ³» ¹ÌÅäÄܵ帮¾ÆÀÇ ±â´ÉÀÌ ºñÁ¤»óÀûÀ¸·Î º¯ÇØ È°¼º»ê¼Ò(ROS)°¡ Áõ°¡ÇÏ°í »ê¼Ò ¼Òºñ ´É·ÂÀÌ ¶³¾îÁö¸é, ‘STAT3’ ½ÅÈ£ ´Ü¹éÁúÀÌ È°¼ºÈ­µÇ¾î ¿°Áõ À¯¹ß ´Ü¹éÁúÀÎ ‘IL-17’ ºÐºñ¸¦ ÃËÁøÇÑ´Ù´Â Á¡¿¡ ÁÖ¸ñÇß´Ù. Áï, ¼¼Æ÷ÀÇ ¿¡³ÊÁö °øÀå¿¡ ÀÌ»óÀÌ »ý±â¸é¼­ ¿°Áõ ¾Ç¼øÈ¯ÀÌ ½ÃÀ۵ȴٴ °ÍÀÌ´Ù.


¡ß ³ª³ë±×·¡ÇÉ¿Á»çÀ̵å(NGO)·Î ¸é¿ª¼¼Æ÷ ´ë»ç Á¤»óÈ­ ¼º°ø


¿¬±¸ÆÀÀº ź¼Ò ±â¹Ý ³ª³ë¹°ÁúÀÎ ‘³ª³ë±×·¡ÇÉ¿Á»çÀ̵å(Nano Graphene Oxide, NGO)’¸¦ Ȱ¿ëÇØ Ä¡·á ½ÇÇèÀ» ÁøÇàÇß´Ù. ³ª³ë¹°Áú Àü¹® ±â¾÷ Àκñ¾¾Æ¼¿Í °øµ¿À¸·Î ¾ÈÁ¤ÀûÀÎ Àü´Þ ±â¼úÀ» °í¾ÈÇØ Àû¿ëÇÑ °á°ú, ¸é¿ª¼¼Æ÷ ³» Ȱ¼º»ê¼Ò°¡ °¨¼ÒÇÏ°í ¹ÌÅäÄܵ帮¾Æ ±â´ÉÀÌ È¸º¹µÇ´Â È¿°ú°¡ ³ªÅ¸³µ´Ù.


ƯÈ÷ ³ª³ë±×·¡ÇÉ¿Á»çÀ̵å´Â ´Ü¼øÈ÷ ¿°ÁõÀ» ´©¸£´Â °ÍÀÌ ¾Æ´Ï¶ó, ¼¼Æ÷ÀÇ ¿¡³ÊÁö ´ë»ç¸¦ Á¤»óÈ­ÇÔÀ¸·Î½á ¿°ÁõÀÇ ±Ùº» ½ÅÈ£ÀÎ ‘STAT3’ Ȱ¼ºÈ­¸¦ Â÷´ÜÇÏ°í ‘IL-17’ ºÐºñ ¼¼Æ÷ ¼ö¸¦ À¯ÀǹÌÇÏ°Ô ÁÙ¿´´Ù.


¡ß µ¿¹° ¸ðµ¨ ¹× ½ÇÁ¦ ȯÀÚ ¼¼Æ÷¿¡¼­ È¿°ú ÀÔÁõ


¿¬±¸ÆÀÀº °Ç¼± À¯µµ ¸¶¿ì½º ¸ðµ¨°ú ½ÇÁ¦ ȯÀÚÀÇ Ç÷¾×¿¡¼­ ºÐ¸®ÇÑ ¸é¿ª¼¼Æ÷¿¡¼­µµ µ¿ÀÏÇÑ È¿°ú¸¦ È®ÀÎÇß´Ù. ³ª³ë±×·¡ÇÉ¿Á»çÀ̵带 Åõ¿©ÇÑ µ¿¹° ±×·ìÀº ÇǺΠº´º¯ ÁöÇ¥(PASI Á¡¼ö)°¡ ¶Ñ·ÇÇÏ°Ô °³¼±µÇ¾úÀ¸¸ç, ȯÀÚ À¯·¡ ¼¼Æ÷¿¡¼­µµ ¹ÌÅäÄܵ帮¾Æ ±â´ÉÀÌ Á¤»ó ¼öÁØÀ¸·Î ȸº¹µÆ´Ù.


Á¶¹Ì¶ó ±³¼ö´Â “À̹ø ¿¬±¸´Â Áúº´À» ¹Ýº¹½ÃŰ´Â ±Ùº» ½ÅÈ£¸¦ ¹ÌÅäÄܵ帮¾Æ ´Ü°è¿¡¼­ Â÷´ÜÇÏ´Â »õ·Î¿î Àü·«À» Á¦½ÃÇÑ °Í”À̶ó°í ¼³¸íÇß´Ù. ¹æÃ¶È¯ ±³¼ö ¿ª½Ã “±âÁ¸ Ä¡·áÁ¦ÀÇ ³»¼º ¹®Á¦¸¦ ±Øº¹ÇÒ ¼ö ÀÖ´Â »õ·Î¿î Á¢±Ù °¡´É¼ºÀ» È®ÀÎÇß´Ù´Â Á¡¿¡¼­ Àǹ̰¡ Å©´Ù”°í °­Á¶Çß´Ù.


À̹ø ¿¬±¸ °á°ú´Â ±¹Á¦ ÇмúÁö ‘Àú³Î ¿Àºê ³ª³ë¹ÙÀÌ¿ÀÅ×Å©³î·ÎÁö(Journal of Nanobiotechnology)’ ÃÖ½ÅÈ£¿¡ °ÔÀçµÆ´Ù.


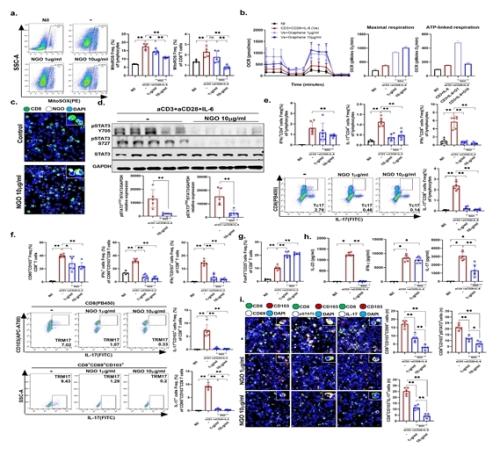
NGO-¸Å°³ IL-17 ¹ßÇö ¸é¿ª¼¼Æ÷ ³» ¹ÌÅäÄܵ帮¾Æ Ç×»ó¼º ¹× STAT3-IL-17 ½ÅÈ£ Á¶Àý¿¡ °üÇÑ Á¶»ç
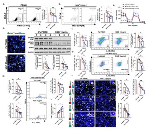
NGO-¸Å°³ IL-17 ¹ßÇö ¸é¿ª¼¼Æ÷ ³» ¹ÌÅäÄܵ帮¾Æ Ç×»ó¼º ¹× STAT3-IL-17 ½ÅÈ£ Á¶Àý¿¡ °üÇÑ Á¶»ç
NGO¿¡ ÀÇÇÑ STAT3-IL-17Ãà ¸Å°³ CD8+ Á¶Á÷»óÁÖ±â¾ï T¼¼Æ÷ ¾ïÁ¦¸¦ ÅëÇÑ °Ç¼± ¸¶¿ì½º ¸ðµ¨ÀÇ Ä¡·á È¿°ú¿¡ °üÇÑ Á¶»ç
NGO¿¡ ÀÇÇÑ STAT3-IL-17Ãà ¸Å°³ CD8+ Á¶Á÷»óÁÖ±â¾ï T¼¼Æ÷ ¾ïÁ¦¸¦ ÅëÇÑ °Ç¼± ¸¶¿ì½º ¸ðµ¨ÀÇ Ä¡·á È¿°ú¿¡ °üÇÑ Á¶»ç
NGO¿¡ ÀÇÇÑ °Ç¼± ȯÀÚ À¯·¡ ¸é¿ª¼¼Æ÷ ³» ¹ÌÅäÄܵ帮¾Æ ±â´É ȸº¹ ¹× STAT3-IL-17Ãà ¾ïÁ¦¿¡ °üÇÑ Á¶»ç
NGO¿¡ ÀÇÇÑ °Ç¼± ȯÀÚ À¯·¡ ¸é¿ª¼¼Æ÷ ³» ¹ÌÅäÄܵ帮¾Æ ±â´É ȸº¹ ¹× STAT3-IL-17Ãà ¾ïÁ¦¿¡ °üÇÑ Á¶»ç
¿ä¾à ±×¸²
¿ä¾à ±×¸²


ÀÌâ¿ë
admin@hkn24.com

* º» ±â»çÀÇ ³»¿ëÀº ÇコÄÚ¸®¾Æ´º½º ¾ð·Ð»ç¿¡¼­ Á¦°øÇÑ ±â»çÀ̸ç ÇコÁ¶¼±ÀÇ ÆíÁý¹æÇâ°ú ÀÏÄ¡ÇÏÁö ¾ÊÀ» ¼öµµ ÀÖ½À´Ï´Ù.(°ü·Ã ¹®ÀÇ´Â ÇØ´ç ¾ð·Ð»ç¿¡ ¿¬¶ôºÎʵ右´Ï´Ù)